Skip Menu
Continue
Existing Patients: (561) 775-1011
New Patients: (561) 666-6982
3365 Burns Road, Palm Beach Gardens, FL 33410
Logo
  • Home
  • About Us
    • Our Office
    • New Patients
    • Smile Gallery
    • Dental Videos
    • Testimonials
  • Our Doctors
    • Yuri Goldvasser, DDS
    • Lauren Kramer, DDS
  • Our Staff
  • Services
      • Cosmetic Dentistry
      • Crowns & Caps
      • Dental Bridges
      • Dental Cleanings
      • Dental Fillings
      • Emergency Treatment
      • Extractions
      • Fluoride Treatment
      • Implant Dentistry
      • Pediatric Dentistry
      • Periodontal Treatment
      • Root Canals
      • Teeth Whitening
      • Veneers
  • Safety Protocols
  • Dental Health
  • Contact
    • Contact Us
    • Request Appointment

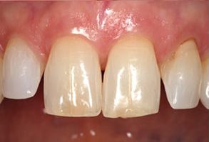
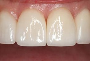
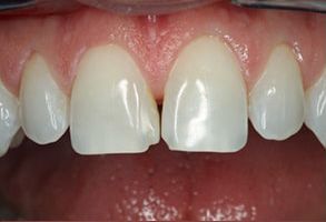
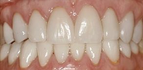
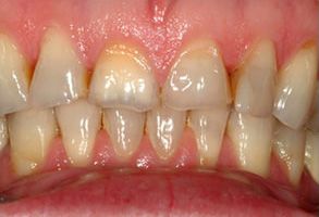
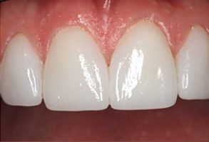
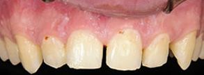
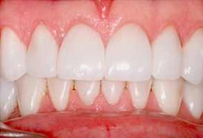
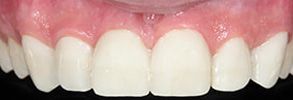
Smile Gallery

Additional Information

Our Location

3365 Burns Road
Suite 209
Palm Beach Gardens, FL 33410
Existing Patients: (561) 775-1011
New Patients: (561) 666-6982

Follow Us

Don't wait. Book an Appointment Now!

With a quick call or form you could be on your way to a brighter, healthier smile. Click the button below to schedule your appointment.

Request an Appointment